Megan Arjmandi DDS
760.806.5302
Request Appointment
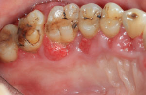
periodontitis.
Click to read our other posts
- Why Are My Teeth Yellow, And What Can I Do About It?
- 🧼 The Dirty Truth About Long Nails (and Nail Biting): What They’re Doing to Your Health
- Why Fix a Tooth with a Large Cavity Even If It Doesn’t Hurt?
- My Wisdom Teeth Aren’t Bothering Me, Why Should I Take Them Out?
- Comprehensive Guide to Wisdom Teeth Extraction and Aftercare
- The Ultimate Guide to Dental Implants and Bridges
- What are the most common misconceptions about oral hygiene
- Your Dentist in Vista
- Am I good candidate for dental implants
- Grinding teeth
- Should I get dental veneers
- Whether you should brush or floss your teeth first
- Why your gums bleed when you floss and if you should stop flossing
- Why dental veneers are often a better choice than dental bonding
- Why the brand of toothpaste used is not as important for oral hygiene compared to proper brushing technique
- How often toothbrushes should be changed and why this is important
- What a root canal is and when one is needed
- What a dental cavity looks like
- Broken Tooth
- Gum Disease
- Teeth Whitening
- What Vaping Does to your Teeth?
- Why it is Important to Replace Missing Teeth?


